Поиск продуктов
Горячие ключевые слова: Product CategoryProduct CategoryProduct Category
Поиск продуктов
Войдите в центр продуктов >
Свяжитесь с нами
Pусский
Поиск продуктов
Войдите в центр продуктов >
Свяжитесь с нами
Дом / Новости

Увен

Новостной центр

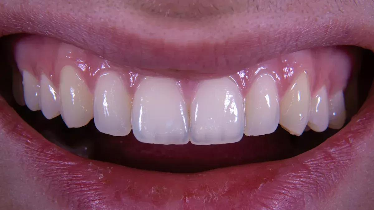
Полировка зубов — это то же самое, что отбеливание зубов?

Нет, полировка зубов и отбеливание зубов — это не одно и то же. Полировка зубов удаляет пятна на поверхности. Это также делает ваши зубы гладкими. Отбеливание делает зубы светлее. Большинство людей, около 78%, знают, что они другие.

Что такое профессиональная кисть?

Профилактическая щетка помогает чистить и полировать зубы во время посещения стоматолога. Ouwen Medical предлагает высококачественный вариант с мягкой щетиной для бережного ухода. Вы получаете одноразовую конструкцию для лучшей гигиены. Используйте его с профилактической пастой, чтобы удалить пятна и сохранить сияющую улыбку.

Какие зубные профилактические щетки самые лучшие на рынке?

В постоянно развивающемся мире стоматологической помощи профилактические щетки играют решающую роль в профилактической стоматологии. Поскольку гигиена полости рта становится главным приоритетом как для врачей, так и для пациентов, выбор правильной профилактической щетки может существенно повлиять на качество предоставляемой помощи.

Добро пожаловать, чтобы отправить запросы в компанию с сильным опытом в области дизайна, разработки продуктов и производства.

БЫСТРЫЕ ССЫЛКИ

СВЯЗАТЬСЯ С НАМИ

№ 8 Гонгинг Вторая дорога, Деревня Шуксин, Чангинг -Таун, Город Дунгуан, провинция Гуандун, Китай
+86-13929448890 / +86-13713374574
+86-13929448890 / +86-13713374574
+86-769-81099096
+86-769-81099586
Авторские права 2025 Dongguan Ouwen Medical Device Technology Co.,Ltd . Sitemap | Политика конфиденциальности